
女子覺得肚里有水翻滾 實為腹腔大出血差點沒命
原標題:好兇險!腹腔大出血,醫生花了5個小時摘了脾臟救回她

自己感覺到肚皮里有水在翻滾,實際上是腹腔里正在大出血,差點命就沒撿回來!四川都江堰一位50多歲的張阿姨,最近就經歷了一次兇險的動脈瘤破裂大出血,都江堰市人民醫院近10位醫護人員,花了5個多小時,才把她救回來。
張阿姨的大意:3年前就查出脾動脈瘤
一直沒管過
4月18日,張阿姨已經從重癥監護室轉回了普通病房,從她和家屬放松從容的表情上怎么也看不出,她是才從鬼門關拉出來的人。
事情還要從兩周前說起。最開始,張阿姨感覺上腹部隱隱作痛,以為是胃炎就沒太當回事。直到3月30日凌晨1點,張阿姨感覺腹部越來越痛,實在難以忍受,總覺得肚子里面有水在不停翻動,勢如排山倒海,這個癥狀立即讓她警醒而害怕——“難道是自己的動脈瘤破裂?完了!”,這才讓家人抓緊送她到醫院。
原來,張阿姨于3年前就檢查出自己有脾動脈瘤,記得醫生曾告訴過她動脈瘤一旦破裂,就會馬上引發大出血,造成休克甚至死亡,但她總覺得動脈瘤跟息肉一樣,不長就可以不管它。沒想到,這個隨時可以讓生命終結的“定時器”,終于發作了。
好兇險:血如同爆管的自來水
已經流了全身血量的3/5

“人的全身大概有5000ML血,這位張阿姨當時已經失血3000ML了。不過她有個幸運之處,就是告知了醫生病史,為她爭取了搶救時間。”據當天主刀的普外科醫生張華茂介紹,慶幸的是患者在失血休克前及時告知接診醫生自己的病史,隨即該院急診科、普外科、血庫、ICU多科聯合為她實施急診手術。
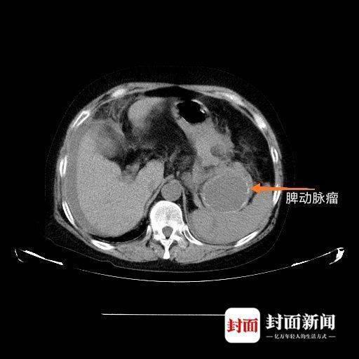
經過CT發現,張阿姨的動脈瘤位于脾門位置,大小已約6CM。而常人的脾動脈大概只有5毫米直徑,也就是說,這三年的“野蠻生長”,動脈瘤讓動脈膨脹了十倍之多,隨時都會破裂。
而在動脈瘤自發破裂后,腹腔內出血約3000ml,張阿姨當時感覺到肚子里有水在翻滾,其實就是血如同爆管的自來水不停地往外涌。“脾動脈瘤是內臟動脈瘤的一種,也是最常見的一種,內臟動脈瘤破裂出血,即使及時手術,成功搶救過來的機會也不大。”張華茂介紹,抱著不論動脈瘤破裂是多么兇險也絕不放棄的信念,他清楚的知道當務之急是控制出血,靠著自己的臨床經驗先游離了脾動脈,快速而準確地結扎了脾動脈,再切除脾臟和脾動脈瘤,希望手術還能為她創造一線生機。
在重癥醫學科醫生的時時監護下張阿姨盡奇跡般地蘇醒了,醫生們的合力協作終于成功把她從死神手里拉了回來。目前,張阿姨病情穩定,恢復良好,不久便可出院。
提醒:內臟動脈瘤必須及時處理
都江堰市人民醫院普外科血管外科組的張華茂說,張阿姨這種成功病例在臨床上確實少見,他曾看過一則報道,38例脾動脈瘤破裂的病人,即使及時做了手術的,存活的只有4例,死亡率很高。
而內臟動脈瘤不像內臟息肉可能不再長大,在血流沖擊下,動脈瘤體會不斷增大,最終因承受不住血流的壓力突發破裂,導致患者迅速大出血,造成失血性休克甚至死亡。張阿姨的例子給我們警示,有了內臟動脈瘤必須及時處理,破裂前可都通過創傷小,恢復快,效果好的微創介入來處理,一旦破裂情況就相當嚴重,不可估計。
他同時也提醒有高血壓、高血脂、糖尿病的這類動脈瘤高危人群,不僅要做好血壓、血脂、血糖的控制,最好定期到醫院做血管方面的檢查。
- 上一篇:失控奔馳車主:奔馳把責任完全推給車主過于武斷[ 04-19 ]
- 下一篇:男子和老婆吵架甩門而出 讓“隔壁老王”乘虛而入[ 04-19 ]













